Singapore General Hospital will NEVER ask you to transfer money over a call. If in doubt, call the 24/7 ScamShield helpline at 1799, or visit the ScamShield website at www.scamshield.gov.sg.

Help Us Improve Your Experience:

We’d love to hear from you! Rate the SGH website and share your feedback so we can enhance your online experience and serve you better. Click here to rate us

Research

Synonym(s):

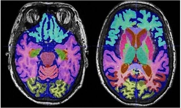
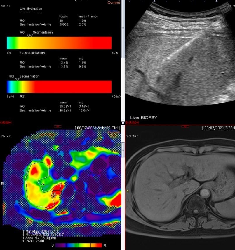
The specialists in the SGH Division of Radiological Sciences have diverse interests and expertise, and support or lead qualitative clinical and quantitative imaging research work over a wide range of imaging modalities applied to diseases of the brain, head and neck, spine, joints, breast, chest and abdomen in adults. 

​SGH and SingHealth-Duke NUS RADSC ACP Research

Other ways that radiologists and nuclear medicine physicians support the research peaks in SGH and SingHealth Duke-NUS Academic Medical Centre can be found at the following links: