Singapore General Hospital will NEVER ask you to transfer money over a call. If in doubt, call the 24/7 ScamShield helpline at 1799, or visit the ScamShield website at www.scamshield.gov.sg.

Help Us Improve Your Experience:

We’d love to hear from you! Rate the SGH website and share your feedback so we can enhance your online experience and serve you better. Click here to rate us

Chest X-rays not needed to screen for lung infection in most

09 Mar 2021

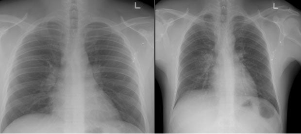
(L) Normal Chest X-Ray  (R) Abnormal Chest X-Ray

 

MEDIA RELEASE

 

Singapore, 9 March 2021 - Hospitals overseas grappling with an overwhelming number of COVID-19 patients could benefit from a study by the Singapore General Hospital (SGH) on the use of chest X-ray to screen for lung infection in those infected.

A study by doctors from SGH Departments of Diagnostic Radiology, and Nuclear Medicine and Molecular Imaging has shown that a chest X-ray may not be necessary for COVID-19 patients with no or mild symptoms of the virus. This was the outcome after they had analysed the data of close to 2,000 COVID-19 patients, aged between 17 and 60, who stayed at the Singapore EXPO Community Care Facility (CCF) in May 2020. Patients admitted to the CCF were generally well and assessed to be at low risk of deteriorating. The study was published in peer-reviewed journal Radiology last December.

“COVID-19 patients at the CCF had to submit their daily vitals (heart rate, blood pressure, and oxygen saturation readings) at self-monitoring stations. Most COVID-19 patients do not develop lung infection. Unless they show signs of deterioration, putting everyone through a chest X-ray may not be necessary as our study showed,” said Dr Charles Goh, Consultant, Department of Nuclear Medicine and Molecular Imaging, SGH. Dr Goh is also the study’s senior author.

The team found that only two per cent of the studied patients, who were asymptomatic or mildly symptomatic, had abnormal chest X-ray readings, which suggested a lung infection. Many of them were monitored at CCF, and only a few were transferred to SGH for further treatment. The remaining 98 per cent had normal chest X-ray readings.

Similar studies in Wuhan and Hong Kong, China, further support the association between severity of condition and the use of chest X-ray. As many as 75 per cent of COVID-19 patients with moderate to severe symptoms in Wuhan, and 70 per cent in Hong Kong, were found to have a lung infection after a chest X-ray.

“Effective use of resources during these unprecedented times is crucial. We believe that our findings will be of help to other cities and countries around the world which are still dealing with large-scale community outbreaks as the resources required for an X-ray can perhaps be redirected to other areas with more pressing needs,” said Dr Benjamin Kuo, Medical Officer, Department of Diagnostic Radiology, Changi General Hospital, who is also the lead author of the publication. Dr Kuo was attached to SGH’s Department of Diagnostic Radiology at the time of the study.

 


For media enquiries, please contact:

Mr M Vikneswaran
Communications Department
DID: 6321 3670
Email: m.vikneswaran@sgh.com.sg

 

Chest X-Ray Study at CCF Findings Media Release.pdf

English

Chest X-Ray Study at CCF Findings Media Release.pdf

Download (595.5 KB)